Skip Menu
CLICK HERE to view our office tour!

8175 Westside Blvd , Suite A
Fulton, MD 20759
(443) 393-3930

1306 North Main Street
Hampstead, MD 21074
(410) 844-0667

  • Home
  • Our Story
    • Meet Dr. Resh
    • Meet Dr. Asamoah-Odei
    • Smile Gallery
    • Dental Videos
    • Our Vision & Mission
    • Reviews
    • Communities We Serve
    • Vlog
    • Blog
  • Locations
    • Maple Lawn
    • Hampstead - Dr. Eric Resh, DDS
  • Our Services
      • All on 4®
      • Botox® Cosmetic
      • Cosmetic Dentistry
      • Crowns & Caps
      • Dental Bridges
      • Dental Cleanings
      • Dental Fillings
      • Dentures
      • Emergency Treatment
      • Extractions
      • Implant Dentistry
      • Full Mouth Reconstruction
      • Full Mouth Dental Implants
      • Oral Exams
      • Orthodontics
      • Pediatric Dentistry
      • Periodontal Treatment
      • Preventive Program
      • Sedation Dentistry
      • Sleep Apnea
      • GLO® Teeth Whitening
      • Veneers
    • View All
  • Dental Implant Center
    • About Dental Implants
    • Which Dental Implants Are the Best?
    • Are Dental Implants Painful?
    • Are Dental Implants Covered By Insurance?
  • Facial Aesthetics
    • Botox® Cosmetics
    • Botox® for TMJ
    • Juvederm®
    • Kybella®
    • Cryoskin
  • New Patients
    • Patient Information
    • Financial Options
    • FREE Smile Assessment
  • Promotions
  • Contact Us
  • Book Appointment
  • Patient Portal Login

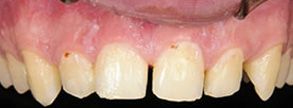
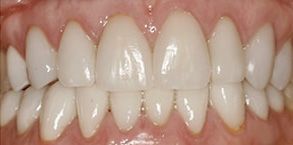
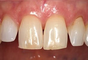
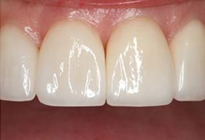
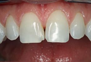
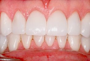
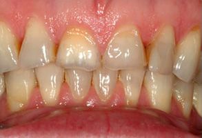
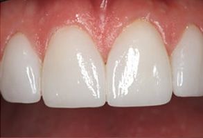
Smile Gallery

About Dental Implants